Exceptional Dental Care
Comprehensive Dental Services in Gorakhpur

01
Oral Accidental & Fracture
Accidental tooth fractures can be sudden and distressing, but timely treatment can restore your smile and prevent further damage. Whether it’s a minor chip or a significant break, addressing the issue promptly ensures the best outcomes for your dental health.
02
Dental Implants
Dental implants are a long-term solution to tooth loss, providing a natural-looking smile and restoring proper mouth function. Our expert team ensures precise placement and comfortable recovery.


03
Dental Jewelry
Dental jewelry is a decorative accessory, like gems or crystals, applied to teeth for a unique and stylish look. It’s a non-invasive, temporary enhancement that adds a personalized touch to your smile.
04
Root Canal Treatment
Root canal therapy is a pain-relieving treatment for infected teeth, removing damaged tissue and preserving the natural tooth structure. Our skilled dentists perform efficient and gentle root canals to restore oral health.


05
Oral cancer diagnosis
Oral cancer diagnosis involves a thorough examination to detect abnormal cells in the mouth, which can develop into cancer. Early detection is key for effective treatment and better outcomes.
06
Teeth whitening and cleaning
Brighten your smile with professional teeth whitening and cleaning. Achieve a fresh, polished look while maintaining optimal oral health.


07
Orthodontics treatment/ Braces
Our orthodontic treatments include traditional braces and clear aligners to gradually shift teeth into proper alignment. Achieve a straighter smile and improved bite function with our personalized care.
08
Painless tooth extraction
Painless tooth extraction uses advanced techniques and anesthesia to ensure a comfortable experience. Modern methods minimize discomfort and promote quick recovery.


09
Post and core therapy
Post and core therapy involves placing a metal or fiber post in a root canal-treated tooth to support a crown, restoring its strength and function. This procedure helps ensure the longevity and stability of the tooth.
10
Fix and removal teeth
Fixing and removing teeth involves repairing damaged teeth or extracting those that are beyond repair. This process aims to restore oral function and prevent further dental issues.


11
Reduced mouth opening
Reduced mouth opening, or trismus, limits the ability to fully open the mouth due to muscle or joint issues. It can result from dental procedures, infections, or other underlying conditions.
12
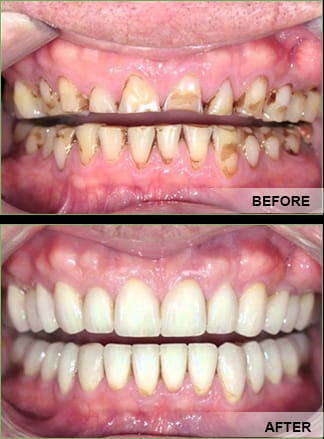
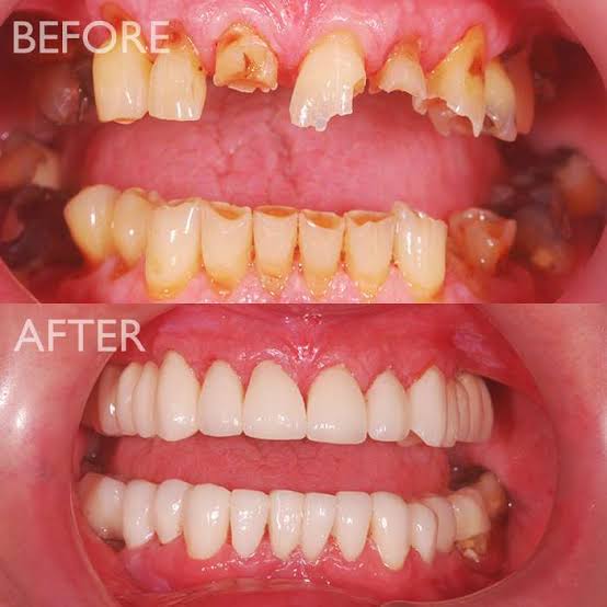
Perfect Smile Design
Full mouth rehabilitation is a comprehensive approach to restoring the function, aesthetics, and health of the entire mouth. It involves a combination of restorative, cosmetic, and sometimes orthodontic treatments tailored to each patient’s needs.


13
Oral cyst, tumor surgery
Oral cyst and tumor surgery involves the removal of abnormal growths in the mouth to prevent complications and restore oral health. This procedure is essential for addressing issues that may affect function and aesthetics.
14
Full mouth rehabilitation
Full mouth rehabilitation is a comprehensive approach to restoring oral function and aesthetics, combining restorative, cosmetic, and sometimes orthodontic treatments tailored to individual needs.

Ready for Your Next Step Towards a Better Smile?
Schedule your appointment now and experience unmatched dental care at Leforte Dental Clinic.
